Assess your medical devices, biocidal products, and cosmetics for biocompatibility safety using in-vitro models with TECOLAB according to international standards.
Biocompatibility test is a critical evaluation step for a wide range of products, such as medical devices, biocides, disinfectants, cosmetics and more. Through this, the safety of the products is evaluated based on how compatible they are with our biological system. In other words, it evaluates if the material is fit for human contact and if they may potentially lead to harmful physiological side effects, such as cytotoxicity, irritation and corrosion to human tissues/cells.
These evaluations are essential for regulatory approval and to safeguard patient health, supporting the development of safe and effective medical products.
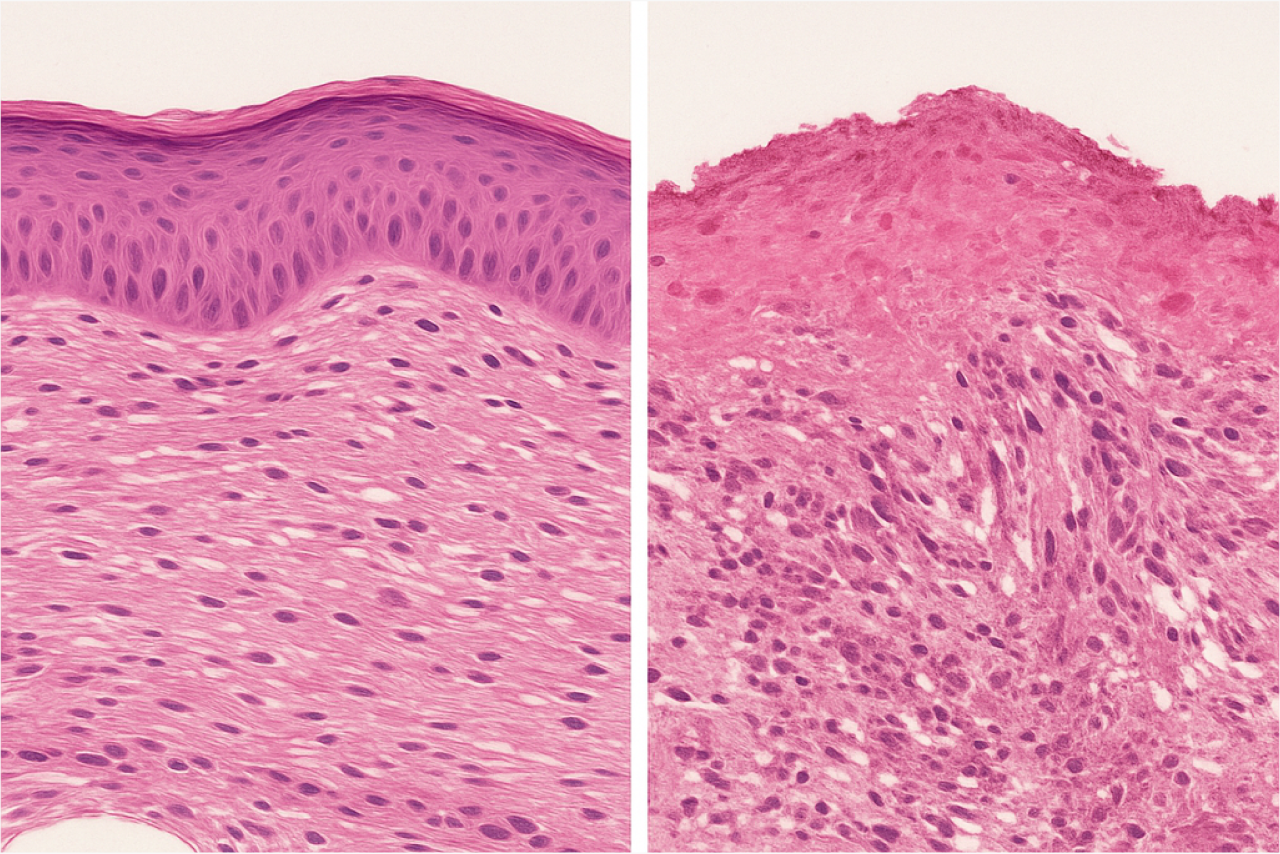
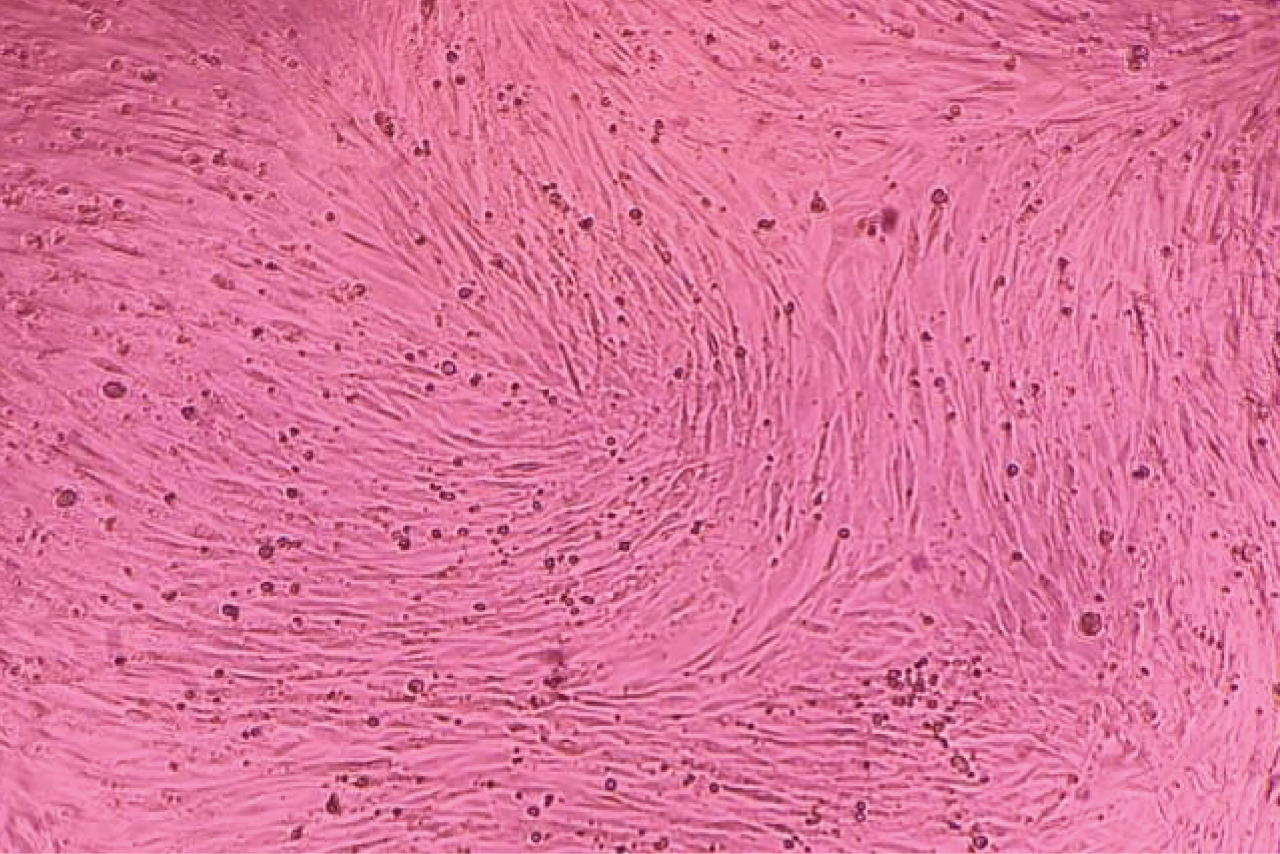
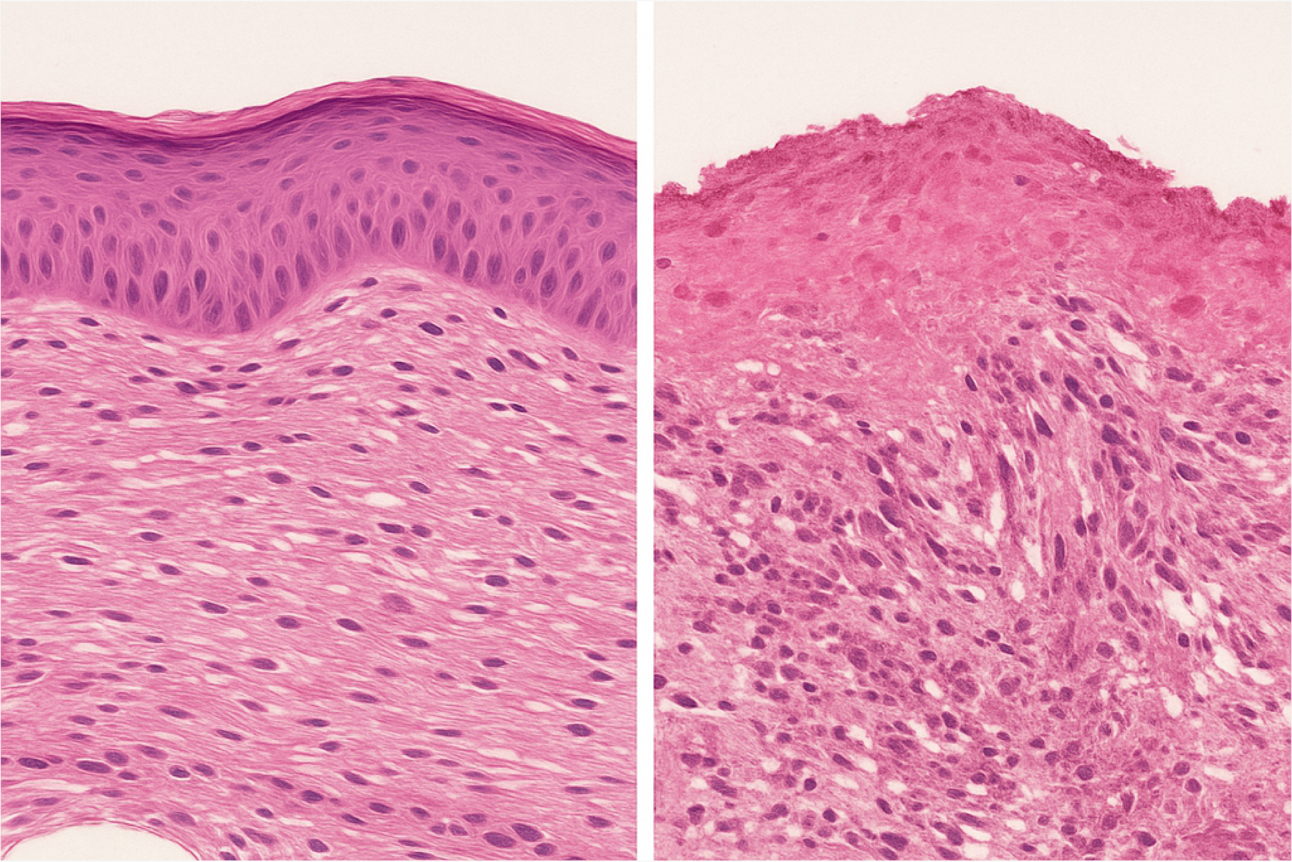
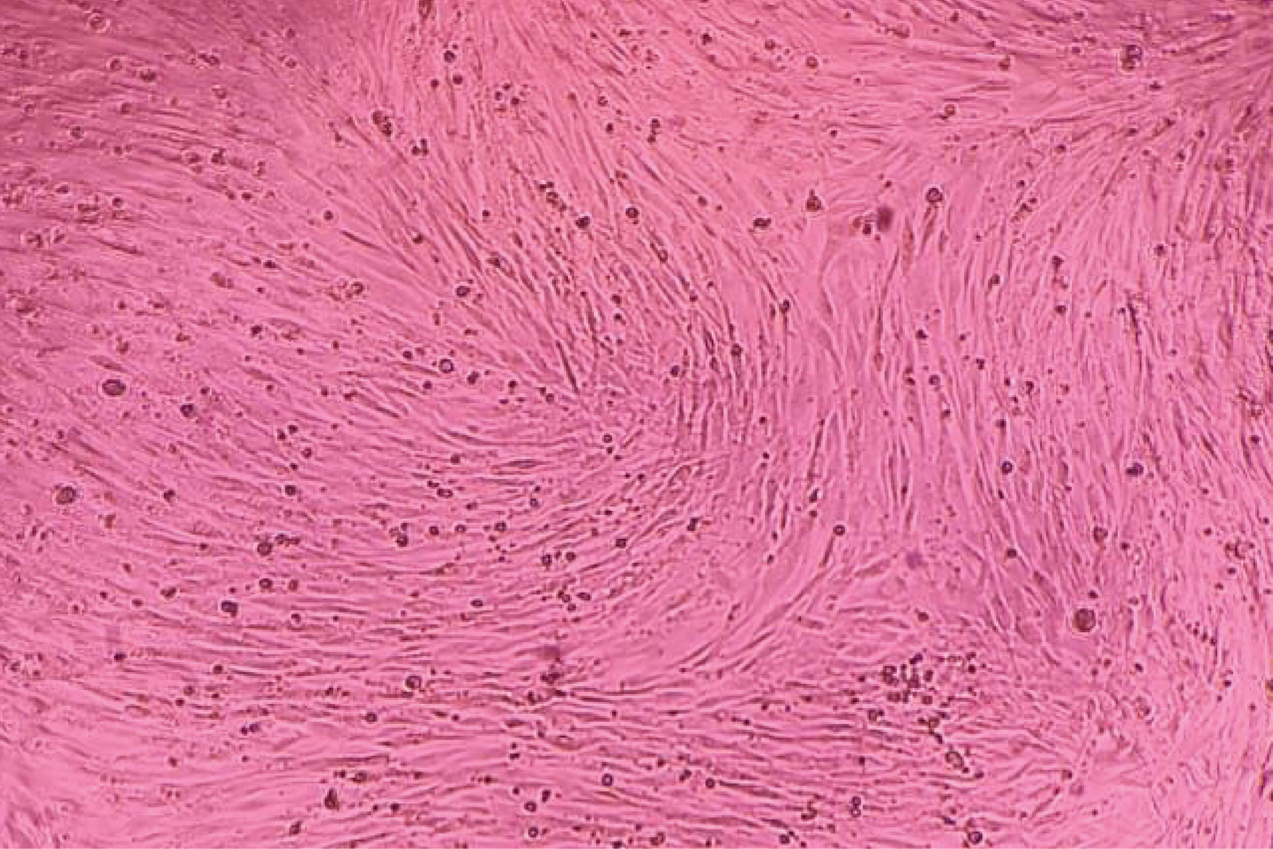
In TECOLAB, the biocompatibility testing we offer are conducted solely in vitro using internationally validated models such as EpiDerm and EpiOcular tissue models for skin and eye evaluation. Through this, the use of animal models in research and testing is greatly minimized, maintaining ethical and safe testing practices. Explore our full range of validated in-vitro tests designed to support your product development, registration, and regulatory compliance.

Skin Irritation Test
ISO 10993-23, OECD 439

Skin Corrosion Test
OECD 431

Eye Irritation Test
OECD 492, MTT ET-50
**Disclaimer: NO ANIMAL TESTING. TECOLAB is committed to ethical and cruelty-free testing practices. We do not conduct any form of testing on animals and all our biocompatibility tests are performed on in-vitro models.
Deutsch
中文
日本語
Português
Français
Español
العربية
